Home | About Us | Staff | Location | Patient Services | Patient Education | News | Medical Journals | Links
Dr. Schwarz Cardio

Home
About Us
The Oath
Location
Staff
Patient Services
Hospitals

Resources
Patient Education
Medical Journals
Links
Updates
News
Late-Breaking
Clinical Trials

ECG Decoder
 
 
   ECG Decoder
   
  July, 2003

ECG of July

Electrocardiogram of an 86 year-old man with hypertension, coronary artery disease, possible previous myocardial infarction, left ventricular systolic dysfunction, admitted with recurrent chest and abdominal pains.

Rate 77/min
PR 0.18 sec
QRS 0.09 sec
QT 0.41 sec
QTc 0.47 sec
QRS axis –15º

Interpretation: Abnormal. Sinus rhythm, occasional premature ventricular complexes. Borderline left atrial abnormality. Minor intraventricular conduction delay. Diffuse ST-T abnormalities representing likely myocardial ischemia. Deep T wave inversion in precordial leads suggestive of proximal LAD stenosis.

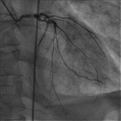
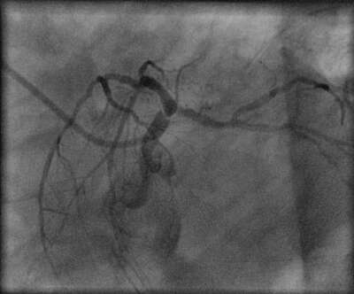
On the basis of elevated troponin I diagnosis of non-ST segment elevation myocardial infarction was made. The patient underwent cardiac catheterization and coronary angiogram which showed 90-95% left main coronary artery stenosis, 90% LAD, 95 % LCx, 90% marginal branch and 98 % dominant RCA stenosis with collaterals from the left system ( two representative views of left coronary artery are presented). There was severe left ventricular systolic dysfunction.

Despite senility, significant left ventricular systolic dysfunction and mild renal failure the patient underwent successful revascularization with CABG.

Stenosis left main image 1

Stenosis left main image 2

<< back to ECG Decoder


 
Top | Home | About Us | Staff | Location | Patient Services | Patient Education | News | Medical Journals | Links